锦旗表心意,暖心医患情。
送来的温暖锦旗,传递着心灵的温度。
共同见证那令人感动的瞬间

今日,凤台新长征医院外科收到患者李先生(化名)赠送的锦旗,以此表达住院期间,无微不至的关怀与诚挚谢意。
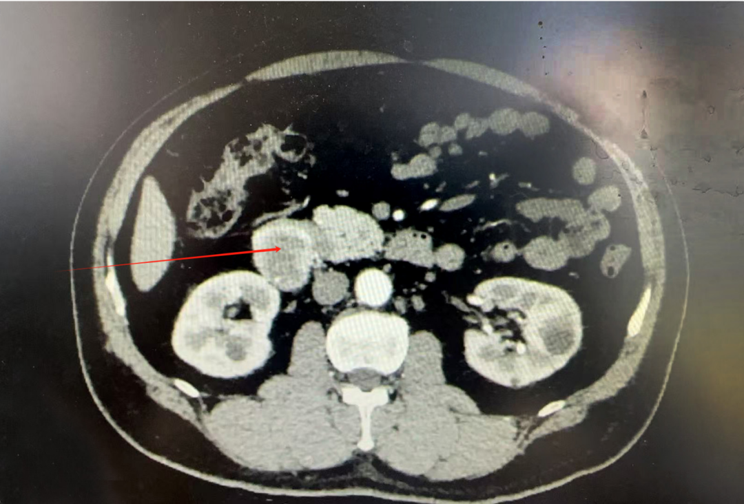
患者李先生,49岁,因“眼黄、尿黄及皮肤黄染半月”逐来我院就诊。腹部CT检查显示:十二指肠降部存在约4cm大小的占位性病变。经综合评估,临床诊断为“十二指肠肿瘤、梗阻性黄疸”。

【术 前 影 像 显 示 】

办理住院后,桂武斌副院长带领外科医疗团队迅速为患者完善各项术前检查,同步开展保肝退黄及对症支持治疗。桂院长牵头组织多次多学科病例讨论,与患者及其家属进行了充分的病情沟通和手术方案讲解。在麻醉科的全力配合下,于2025年6月10日为患者实施气管插管全身麻醉下行“根治性胰十二指肠切除术”。

手术顺利,患者及家属对高效的诊疗与人文关怀赞不绝口,出院之际以锦旗致谢,鲜红锦旗彰显对医护团队的高度认可与信任。
一直以来,新长征医院秉持“以患者为中心”的服务理念,将患者需求放在首位。医院将持续提升医疗质量,为患者提供更专业、全程、高效、人性化的医疗服务,守护患者健康。
专家介绍

桂武斌 副院长
主任医师
工作历程:桂武斌,外科副院长,主任医师,淮南市普外科学科带头人,1991年毕业于蚌埠医学院医疗专业,从事普外科临床工作近三十年,曾在南京军区总院、江苏省人民医院、省肿瘤医院进修深造。在普外科疾病诊治方面有丰富的临床经验,先后在国家级刊物上发表论文15篇。
社会任职:安徽省医师协会乳腺疾病专业委员会委员,安徽省胃肠外科专科医疗联合体委员、中华医学会淮南分会外科学会肝胆胰组委员、上海同济医院医疗集团普外科联盟委员、中华医学会淮南分会外科学分会委员。
开展工作:甲状腺癌、乳腺癌、胃肠道肿瘤、胰腺肿瘤手术,腹腔镜下多种术式,包括腹腔镜下结直肠癌根治术、腹腔镜下胆囊及胆道手术、腹腔镜下腹股沟疝及阑尾手术等。
咨询电话 :18955445466

顾元春 外科副主任
副主任医师
工作历程:顾元春,外科副主任,副主任医师,1997年毕业于蚌埠医学院,大学本科,学士学位,2007年-2008年在上海中山医院进修血管外科一年,对血管外科疾病有一定的治疗经验。开展工作:从事普外科工作20余年,熟练普外科疾病的诊治,尤其是肝、胆、胰、脾外科疾病的诊断和治疗方面有较高造诣,能够熟练开展腹腔镜下胆囊切除、胆总管探查取石、疝修补等普外科微创手术,腔镜操作娴熟。擅长普外科急症、疑难病的诊治,对肝胆、胰腺及胃肠道肿瘤的综合治疗经验丰富。咨询电话:13956431312
编 辑 | 胡晓蕊
审 核 | 张光强


微信公众号

手机版
